With Mother’s day having just passed by, I decided to write about a type of childhood caries that most parents might be unaware of.
Nursing Bottle Caries – What is it?
This is a type of tooth decay seen in children, less than 6 years old, who are used to sleeping with a bottle in their mouth. If the bottle (containing milk, juice or any other sugary drink) acts as a source to self-soothe and sleep, the chances of developing nursing bottle caries is high. Having said that, not all children who sleep with their bottles develop this condition but those who do, find a root cause in this one habit. In my practice, it was the 2 to 4 year olds who were most frequently missed from diagnosis since they were still developing the skills to communicate effectively and, in all practical sense, didn’t really allow parents to inspect their mouth.
What happens in Nursing bottle caries?
If a bottle’s nipple continuously stays inside a child’s mouth as he/she sleeps, a small portion of milk pools and is in contact with the teeth throughout the night. As a result, the saliva never gets a chance to flush the oral cavity. Therefore, the bacteria in our mouth get ideal conditions to form a layer of Plaque. This plaque, being acidic in nature, gradually starts to dissolve the teeth leading to caries/cavity formation.

The outermost enamel of the tooth dissolves first followed by the next layer of dentin. At both these stages, the cavity can still be filled by the dentist and the patient won’t feel any pain. If left untreated however, the bacteria reach the tooth pulp after which a root canal treatment is the only solution – and we’re all aware of that kind of tooth pain.
Parents may think that cleaning their children’s teeth every morning is sufficient; however, a few hours of exposure to milk over many nights is enough to gradually work its way towards a cavity formation.
What should a parent look out for then?
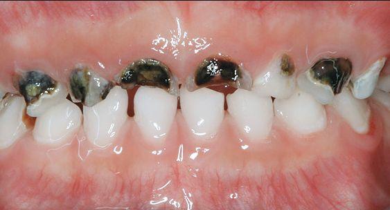
Any kind of brown spot on the teeth or complaint of pain should raise alarms.

What characterizes nursing bottle caries is the fact that only the upper teeth are affected by caries and not the lower teeth.
The reason for the lower teeth remaining unaffected is that the tongue covers the lower teeth during sleep and protects them from the pooling of milk around them. If a child has caries in multiple upper and lower teeth, it’s a condition known as Early Childhood Caries which is a more rampant form of Nursing Bottle Caries. Some people use these terms interchangeably since the night-time bottle feed is the culprit in both situations.
For the mothers who breastfeed their children on demand during the night: since the breast is removed after the child has fallen asleep, one would assume that the pooling of milk shouldn’t occur at all – but it could. Some breastfed children also develop this condition and the reason could come down to many added factors of tooth positioning, health status of the child etc.
Personally I believe just as some adults are more prone to caries than others, so are the children. Nonetheless, instead of focusing on the specifics, I advise to have a clean mouth before falling asleep irrespective of age. Since children have teeth that are more spaced out than permanent teeth, a simple sip of water should do the trick too, or at least be a good start to oral hygiene care before they’re older and more self-sufficient.
How do we avoid it?
Luckily, the current generation is more or less well aware of good oral hygiene practices and the effects of eating sticky food on the teeth. Babies are easier to manage needing only a gentle swipe of the gums and newly erupting teeth with a baby brush.
With a toddler, however, things get complicated. Every parent dreads taking away the source of their baby’s blissful state of slumber (in this case: the bottle). However, just as no parent allows their toddler to play with a toy that may be a choking hazard – even at the cost of facing a full-fledged tantrum – they can also plan to wean off their baby from sleeping with a bottle in their mouth. It’s not a piece of cake but is worth the stress.
As mentioned earlier, parents can give a few sips of water to their child after the evening meal of milk is complete. Perhaps they can switch the milk bottle with a plain water bottle or try giving a pacifier instead. My own toddler, for example, adores his blankie which he’s had since birth and does self-soothe with it occasionally during sleep. Anything that could avoid the pooling of that milk works well. The only thing to keep in mind is to not use sugary substitutes.
Our babies are precious and taking care of their bright smiles is our responsibility. Let’s do our best to keep those naughty smiles gleaming.

References
- Microbial diseases of mouth and oral cavity
- Early Childhood Caries – Int J Dent. 2011; 2011: 725320.